척추 측만증은 현대 사회에서 점점 더 흔하게 발견되는 질환입니다. 이 질환은 척추가 정상적인 직선 형태를 유지하지 못하고 'S' 형태나 'C' 형태로 휘어지는 것을 말합니다.

이러한 척추의 변형은 다양한 원인에 의해 발생할 수 있으며, 척추 측만증을 앓고 있는 사람들은 일상 생활에서 여러 가지 불편함을 겪을 수 있습니다.
본문에서는 척추 측만증의 원인, 증상 및 교정 방법에 대해 자세히 알아보고, 이 질환을 효과적으로 관리하는 방법에 대해 탐구해보겠습니다.
척추 측만증이란?

척추 측만증은 척추가 좌우로 휘어져 있는 상태를 말합니다. 정상적인 척추는 뒤에서 볼 때 직선을 이루어야 하지만,
척추 측만증이 있는 경우 척추가 'S' 형태나 'C' 형태로 휘어 있게 됩니다. 이로 인해 척추는 앞뒤로만이 아니라 좌우로도 굽어지게 되며, 이는 여러 가지 불편함과 건강 문제를 유발할 수 있습니다.
척추 측만증의 원인
척추 측만증의 원인은 매우 다양합니다. 대부분의 경우, 척추 측만증의 정확한 원인을 알 수 없으며 이를 '특발성 척추 측만증'이라고 합니다. 그러나 몇 가지 잠재적인 원인은 다음과 같습니다.
선천적 요인
일부 사람들은 태어날 때부터 척추의 이상을 가지고 있으며, 이는 척추 측만증을 유발할 수 있습니다. 척추의 성장 이상이나 신경근육 질환 등이 여기에 해당됩니다.
획득적 요인

사고, 외상, 특정 질환 등으로 인해 척추 측만증이 발생할 수 있습니다. 이러한 경우, 척추 측만증은 사고나 질환 이후에 발생하는 경우가 많습니다.
생활 습관 및 환경적 요인
잘못된 자세, 한쪽으로의 지나친 무게 부하, 비활동적인 생활 습관 등도 척추 측만증을 유발할 수 있습니다.
척추 측만증의 증상
척추 측만증의 증상은 사람마다 다를 수 있으며, 척추의 휘어진 정도에 따라 다양합니다. 일반적인 증상으로는 다음과 같습니다.
- 어깨 높이의 불균형: 한쪽 어깨가 다른 쪽보다 높게 위치할 수 있습니다.
- 허리와 골반의 불균형: 척추의 휘어짐으로 인해 한쪽 허리나 골반이 더 높아 보일 수 있습니다.
- 몸통의 비대칭: 척추가 휘어진 부분이 회전하면서 몸통이 비대칭적으로 보일 수 있습니다.
- 통증: 척추 측만증 자체는 통증을 유발하지 않지만, 중증의 경우 통증이 발생할 수 있습니다.
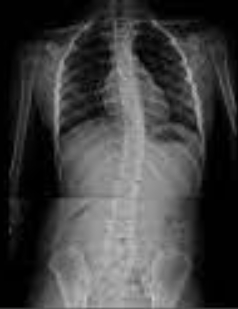
척추 측만증의 진단

척추 측만증의 진단은 전문가에 의해 이루어지며, X-선 검사, MRI 등을 통해 척추의 휘어진 정도를 정확하게 평가합니다. 진단 과정에서 환자의 나이, 성장 상태, 척추의 휘어진 정도 등이 고려됩니다.
척추 측만증의 교정 방법
척추 측만증의 교정 방법은 척추의 휘어진 정도, 환자의 나이, 성장 상태 등에 따라 다양합니다. 주요 교정 방법은 다음과 같습니다.
관찰
척추 측만증이 가벼운 경우, 정기적인 관찰을 통해 척추의 변화를 모니터링합니다. 이 경우, 추가적인 치료가 필요하지 않을 수 있습니다.
물리 치료
척추 측만증의 초기 단계에서 물리 치료는 매우 유용할 수 있습니다. 물리 치료사는 척추를 교정하는 운동 및 스트레칭을 지도하여 척추의 굽힘을 완화할 수 있습니다.
브레이스 사용
척추의 휘어짐이 25도에서 40도 사이인 경우, 브레이스 사용을 고려할 수 있습니다. 브레이스는 척추가 더 이상 굽히지 않도록 지원해 주며, 특히 성장기에 있는 청소년에게 효과적일 수 있습니다.

수술
척추의 휘어짐이 45도 이상인 경우나 다른 치료 방법으로 개선되지 않는 경우, 수술을 고려할 수 있습니다.
수술은 척추를 다시 일자로 만드는 것을 목표로 하며, 척추를 고정하는 금속 장치를 사용하거나 척추의 일부를 제거하는 방법이 포함될 수 있습니다.
결론
척추 측만증은 다양한 원인에 의해 발생할 수 있으며, 그 증상과 치료 방법 또한 다양합니다. 척추 측만증을 효과적으로 관리하기 위해서는 정확한 진단과 적절한 치료 계획이 필수적입니다. 척추 측만증이 의심되는 경우, 전문가의 진료를 받고 개인의 상황에 맞는 최적의 치료 방법을 찾는 것이 중요합니다. 척추 건강을 위해 올바른 자세를 유지하고, 규칙적인 운동을 실천하는 것도 매우 중요합니다. 척추 측만증을 포함한 척추 건강 문제는 초기에 적절하게 관리할 경우 더 나은 결과를 얻을 수 있으므로, 척추 건강에 각별한 주의를 기울여야 합니다.
'생활지혜' 카테고리의 다른 글
| 콜라비 껍질 효능 부작용 및 먹는법 보관법 자세히 알아봅니다. (1) | 2024.02.27 |
|---|---|
| 류현진 한화 복귀!! 류현진 ML 다년 계약 왜 거절이유!! (0) | 2024.02.27 |
| 류현진 한화 복귀 류현진 연봉!!(등판일정 성적) 류현진 아내 근황 둘러보기!! (0) | 2024.02.27 |
| 카무트 효소 효능과 효과는? 부작용 먹는방법 (0) | 2024.02.25 |
| 입술 포진 초기 원인과 증상 빨리 낫는 법 (0) | 2024.02.25 |